PM2.5 Smog Triggers Health Alarm in Chiang Mai
CHIANG MAI, April 19, 2026 — A doctor in Chiang Mai has warned that dangerous PM2.5 pollution levels may be causing unusually severe lung illnesses, including a teenage tourist who developed acute pneumonia after visiting northern Thailand.
The 19-year-old patient, who had no prior medical conditions and no smoking history, required high-flow oxygen, antibiotics and steroid treatment after travelling to Pai, a popular tourist destination in Mae Hong Son province, doctors said.
Medical specialists said the illness was believed to have been caused largely by short-term exposure to toxic air pollution.
Associate Professor Atikun Limsukon, a respiratory and critical care physician at Chiang Mai University, said the case was diagnosed as acute eosinophilic pneumonia, a condition that can occur in healthy non-smokers exposed to heavy smoke or airborne toxins.
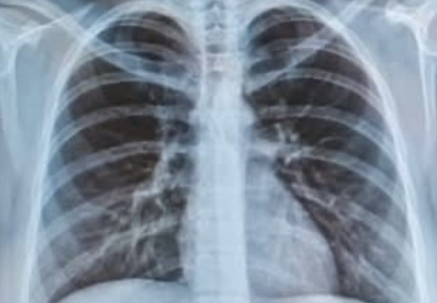
A second patient with a chronic lung condition returned in respiratory failure and required intubation, with doctors reporting severe inflammation and blood-stained fluid in the lungs — signs of significantly worsened damage.
On Friday, PM2.5 levels in Chiang Mai remained above safe limits, with dense haze reducing visibility across large parts of the city and surrounding areas.
Authorities urged residents to avoid outdoor activities, wear protective masks and monitor health symptoms as northern Thailand enters another period of seasonal smog driven by agricultural burning and forest fires.
Health experts warned that this year’s pollution may be causing faster and more aggressive respiratory complications than in previous seasons.
Thailand’s north, including Chiang Mai and nearby provinces, regularly faces hazardous air quality during the dry season, prompting recurring concerns over public health, tourism and long-term environmental policy.




